O primeiro transplante mundial de tecido pulmonar de doadores vivos foi feito com sucessk para uma paciente com grave lesão pulmonar causada pela Covid-19, conforme anúncio do Hospital Universitário de Quioto.
A cirurgia durou quase 11 horas e ocorreu na quarta-feira (7) e o estado de saúde do três é estável, segundo os médicos.
A mulher transplantada contraiu Covid-19 no final do ano passado e desenvolveu dificuldades respiratórias que pioraram rapidamente.
Ela foi colocada em uma máquina de suporte de vida que funciona como um pulmão artificial por mais de três meses em um hospital porque seus pulmões estavam gravemente danificados.
A paciente se livrou do vírus, mas seus pulmões deixaram de ser funcionais ou tratáveis, e a única opção para ela continuar a viver era receber um transplante de pulmão, segundo a universidade.
Seu marido e seu filho se ofereceram para doar partes de seus pulmões, e a cirurgia foi realizada no Hospital Universitário de Quioto por uma equipe de 30 pessoas liderada por Hiroshi Date.
A universidade ressalta que já foram realizados dezenas de transplantes de partes de pulmões retirados de doadores com morte cerebral, mas o procedimento ainda é raro no Japão, e doadores vivos são considerados uma opção mais realista para os pacientes.
"Demonstramos que agora temos a opção", afirma o médico Hiroshi Date, cirurgião torácico do hospital que comandou a operação, sobre o transplante a partir de doadores vivos. "É um tratamento que dá esperança para os pacientes".
Deixe seu Comentário
Leia Também

Audiência de direitos humanos discute operação policial no Rio que terminou com 122 mortos

Coreia do Norte reconhece novo lÃder do Irã e critica "atos de agressão" dos E.U.A

Mulher é morta por elefante após provocar animal na NamÃbia

PCC e Comando Vermelho serão classificados como 'organizações terroristas' pelos EUA

Irã define novo lÃder supremo após morte de Ali Khamenei

Irã denuncia mortes de civis e diz que mais de 1,3 mil morreram em conflito com EUA e Israel

Hezbollah no LÃbano volta à guerra e conflito escala no Oriente Médio

Papa pede diplomacia e fim da espiral de violência no Oriente Médio

Com morte de Khamenei, Irã forma conselho de governo com aiatolá Arafi


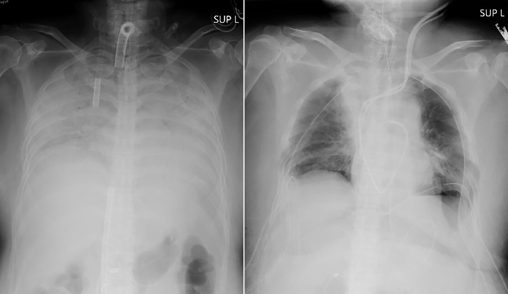
Radiografias fornecidas em 9 de abril de 2021 pelo Hospital mostram o tórax de um paciente antes da cirurgia e depois (Hospital Universitário de Quioto via AP)



